Phẫu thuật thành công khối u ác tính nặng gần 4kg cho bệnh nhân
Kinhtedothi – Bệnh viện Ung Bướu Hà Nội vừa phẫu thuật thành công, loại bỏ khối sarcoma mỡ sau phúc mạc nặng gần 4 kg cho bệnh nhân nữ 76 tuổi, giúp thoát khỏi nguy cơ biến chứng đe dọa tính mạng.
Bệnh nhân N.T.T được gia đình đưa vào Bệnh viện Ung Bướu Hà Nội do bụng to nhanh, căng tức, biến dạng vùng hạ sườn – mạn sườn phải trong khoảng 3 tháng gần đây. Nữ bệnh nhân có tiền sử viêm phổi mạn tính, thể trạng trung bình, không ghi nhận tiền sử ung thư. Bác sĩ khám lâm sàng phát hiện khối chắc, kích thước lớn, giới hạn tương đối rõ, di động hạn chế vùng hông – thắt lưng phải.
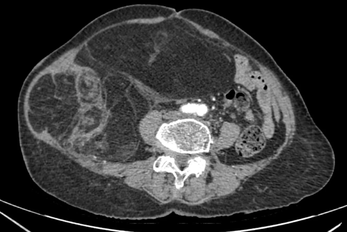
Kết quả chẩn đoán hình ảnh (CT ổ bụng có thuốc cản quang) cho thấy, khối choán chỗ sau phúc mạc, kích thước 28 × 15cm, cấu trúc hỗn hợp tổ chức mỡ – đặc, đè đẩy tạng trong ổ bụng nhưng không có dấu hiệu xâm lấn các tạng lân cận. Kết hợp lâm sàng và hình ảnh học, bệnh nhân được chẩn đoán sarcoma mỡ sau phúc mạc.
Các bác sĩ đánh giá, ca bệnh có nguy cơ cao do bệnh nhân nhiều tuổi, bệnh lý hô hấp nền và khối u kích thước khổng lồ thâm nhiễm cơ thành bụng. Không chỉ vậy, nguy cơ mất máu nhiều và rối loạn huyết động trong mổ được tiên lượng. Sau hội chẩn đa chuyên khoa, các bác sĩ chỉ định phẫu thuật cắt bỏ triệt để khối u cho bệnh nhân.
Ngay sau đó, ê kíp phẫu thuật mở bụng theo đường giữa trên – dưới rốn mở rộng sang phải, vết mổ dài khoảng 30cm. Trong quá trình mổ, bệnh nhân có khối màu vàng nhạt, thâm nhiễm cơ thắt lưng phải, chưa xâm lấn tạng, tuy nhiên u ranh giới không rõ, len lỏi giữa các tạng và cân cơ thành bụng nên phẫu tích gặp nhiều khó khăn.
Phẫu thuật viên tiến hành bóc tách cẩn trọng theo mặt phẳng giải phẫu, kiểm soát các nhánh mạch nhỏ, tránh tổn thương tạng lân cận. Toàn bộ khối u được lấy ra nguyên vẹn, nặng gần 4kg, kích thước 28 × 15cm. Bệnh nhân mất ước tính dưới 300ml máu, không cần truyền máu trong mổ.
Phim chụp CT ổ bụng của bệnh nhân N.T.T.
Sau khi mổ, bệnh nhân được hồi sức tích cực, huyết động ổn định, không ghi nhận chảy máu hay nhiễm trùng vết mổ. Kết quả mô bệnh học xác định: sarcoma mỡ mất biệt hoá, diện cắt âm tính tế bào u (R0). Bệnh nhân hồi phục tốt, được xuất viện sau 7 ngày.
Lý giải về căn bệnh hiểm nghèo này, các bác sĩ cho biết, sarcoma mỡ sau phúc mạc (Retroperitoneal Liposarcoma – RPLS) là u ác tính mô mềm hiếm gặp, chiếm khoảng 15 - 20% các sarcoma vùng sau phúc mạc. Bệnh tiến triển âm thầm, thường chỉ phát hiện khi khối u đạt kích thước lớn, gây chèn ép tạng lân cận. Phẫu thuật triệt để với diện cắt âm tính (R0) là phương pháp điều trị chuẩn, quyết định tiên lượng bệnh.
Tuy nhiên, tỷ lệ tái phát tại chỗ cao (30 - 50%), đặc biệt trong 2 - 3 năm đầu sau mổ, do đặc tính lan tỏa của mô u trong khoang sau phúc mạc. Do đó, người đã mắc bệnh này cần theo dõi định kỳ bằng siêu âm hoặc CT scan mỗi 6 - 12 tháng là cần thiết. Vai trò của xạ trị hoặc hóa trị bổ trợ còn hạn chế.
Qua ca bệnh này, Trưởng khoa Ngoại Tổng hợp, Phó Giám đốc Bệnh viện Ung Bướu Hà Nội, BSCKII Lê Văn Thành khuyến cáo người dân, đặc biệt là người cao tuổi nên khám sức khỏe định kỳ để phát hiện sớm các bất thường trong ổ bụng. Khi người dân thấy các dấu hiệu như bụng to bất thường, đau âm ỉ vùng thắt lưng, cảm giác có khối cứng di động trong bụng, cần đến ngay cơ sở y tế chuyên khoa để được kiểm tra, chẩn đoán và điều trị kịp thời.

Phẫu thuật thành công ca lấy sỏi mật cho bệnh nhân có trái tim bên phải
Kinhtedothi – Các bác sĩ Khoa Phẫu thuật tiêu hóa, Bệnh viện E đã phẫu thuật thành công ca lấy sỏi mật cho bệnh nhân nam (63 tuổi, trú tại Hà Nội) có trái tim bên phải.

Bệnh viện Mặt Trời phẫu thuật thành công ca u nội tủy cột sống hiếm gặp
Kinhtedothi - U nội tủy cột sống ngang mức C5/C6 hiếm gặp, nếu không can thiệp kịp thời cho người bệnh, nguy cơ biến chứng thần kinh gây rối loạn đại tiểu tiện, thậm chí tàn phế vĩnh viễn. Ca phẫu thuật có độ khó cao, đòi hỏi tay nghề và nhiều trang thiết bị hiện đại hỗ trợ này vừa được thực hiện thành công tại Bệnh viện Mặt Trời.

Phẫu thuật thành công khối u màng não cho bệnh nhân 73 tuổi có bệnh nền
Kinhtedothi - Ngày 4/9, Bệnh viện đa khoa Thủ Đức cho biết, bệnh viện vừa điều trị thành công một ca u màng não phức tạp cho bệnh nhân là cụ bà 73 tuổi có nhiều bệnh nền.






